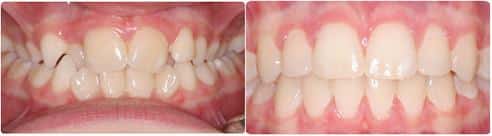
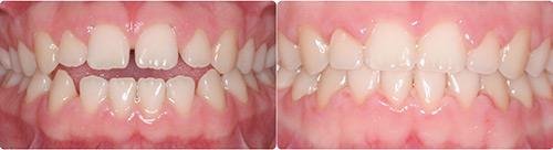
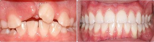
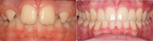
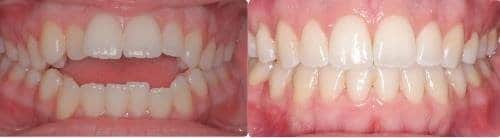
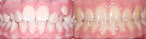
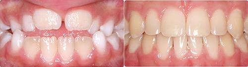
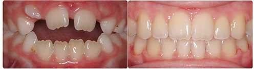
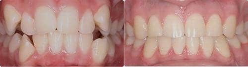
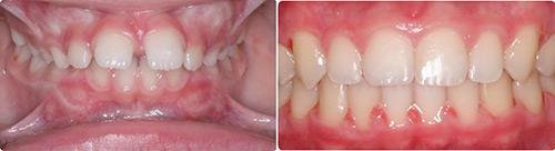
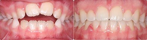
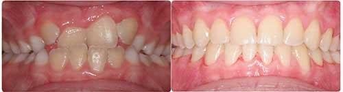
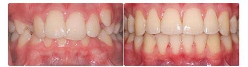
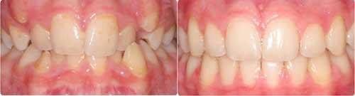
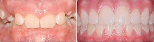
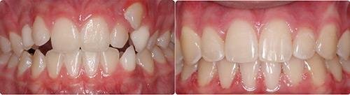
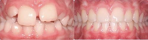
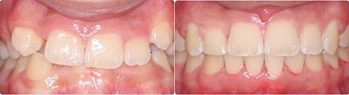
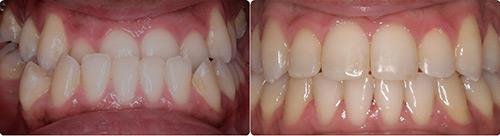
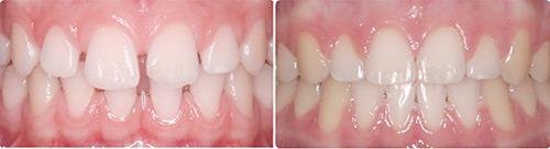
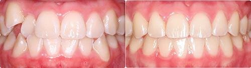
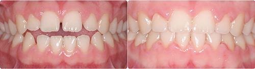
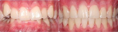
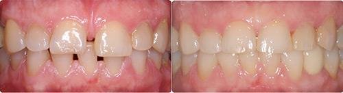
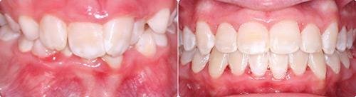
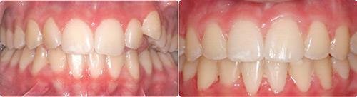
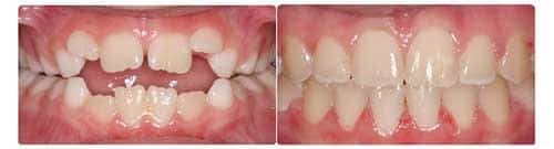
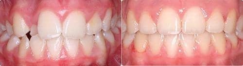
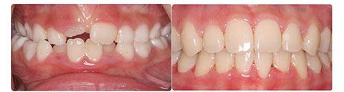
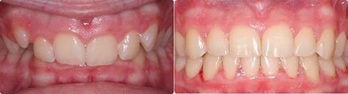
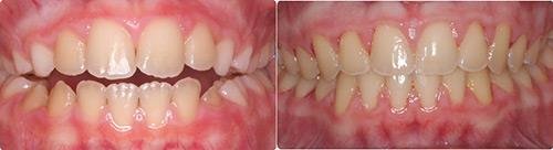
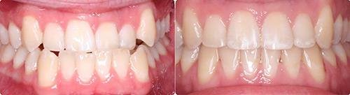
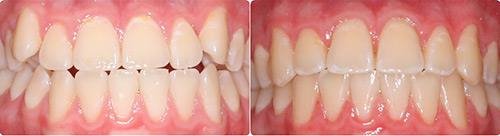
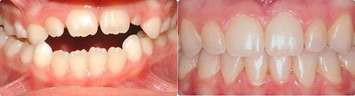
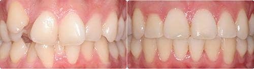
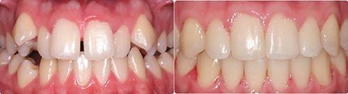
Before and After Orthodontic Treatment

See the incredible transformations our patients have achieved through personalized orthodontic care with braces or Invisalign. Our before-and-after gallery highlights the difference a healthy, confident smile can make; not just in appearance, but in overall self-esteem. Every smile tells a story of dedication, expertise, and the life-changing results that come from trusted orthodontic treatment.