Understanding Common Orthodontic Problems

At Wilsonville Orthodontics, we treat a wide range of orthodontic concerns that affect both teens and adults. Orthodontic problems can impact much more than just the appearance of your smile. They can also affect chewing, speaking, oral hygiene, and long-term dental health.

A bad bite can be caused by a variety of factors, including:

  • Genetics or inherited dental traits
  • Thumb or finger sucking habits
  • Premature tooth loss
  • Accidents or injuries
  • Poor oral hygiene
  • Congenital medical conditions

Becoming familiar with the orthodontic issue you or your teen may have is the first step toward correction. 

Protrusion Wilsonville Orthodontics in Wilsonville, OR

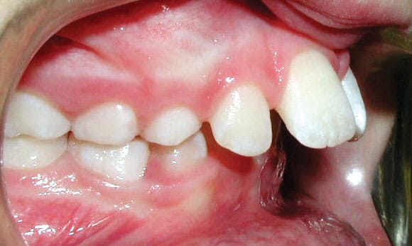
Upper Front Teeth Protrusion

When the upper front teeth extend too far forward or the lower teeth sit too far back, it affects both appearance and function. This can increase the risk of injury to the upper teeth and impact the alignment of the bite. Orthodontic treatment can help guide proper jaw growth and prevent long-term alignment issues.

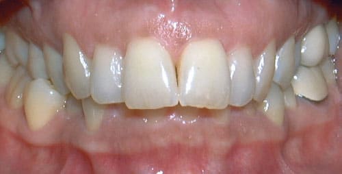
Overbite Wilsonville Orthodontics in Wilsonville, OR

Overbite

An overbite occurs when the upper front teeth overlap the lower front teeth excessively. In severe cases, the lower teeth may bite into the roof of the mouth, leading to discomfort, enamel wear, and jaw strain. Correcting an overbite improves bite balance and reduces stress on the jaw joints and surrounding muscles.

Crossbite Wilsonville Orthodontics in Wilsonville, OR

Crossbite

A crossbite happens when the upper teeth sit inside the lower teeth instead of outside. This can lead to uneven tooth wear, jaw shifting, and even misaligned jaw growth if left untreated. Orthodontic correction helps realign the bite and prevent asymmetric facial growth over time.

Open Bite Wilsonville Orthodontics in Wilsonville, OR

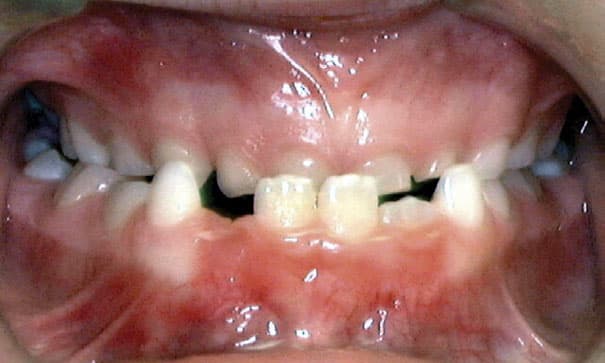
Open Bite

With an open bite, the upper and lower front teeth do not meet when the mouth is closed. This condition can interfere with proper chewing and may be linked to habits such as tongue thrusting or prolonged thumb sucking. Treating an open bite restores function, improves speech clarity, and creates a more natural smile.

Crowding Wilsonville Orthodontics in Wilsonville, OR

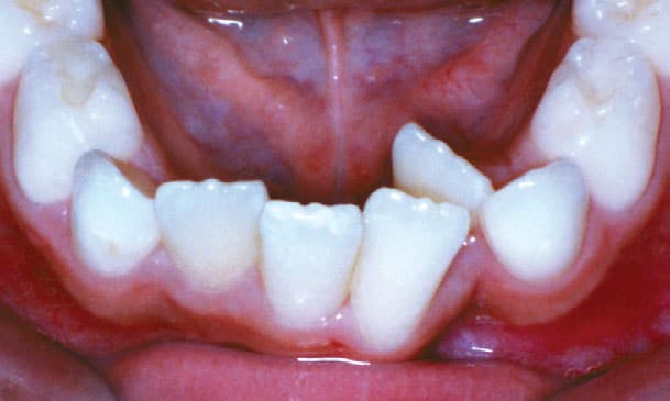
Crowding

Crowding occurs when there isn’t enough space in the jaw for teeth to erupt properly. This can make cleaning more difficult and increase the risk of cavities and gum problems. Proper space management and expansion can create space and help avoid tooth removal. Straightening crowded teeth makes oral hygiene easier and supports long-term dental health.

Spacing Wilsonville Orthodontics in Wilsonville, OR

Spacing

Spacing issues appear when there are gaps between teeth. These may result from missing teeth, small teeth, or natural spacing variations. Excess spacing can affect bite alignment and function. Closing these gaps enhances smile aesthetics and promotes better tooth stability over time.

Underbite Wilsonville Orthodontics in Wilsonville, OR

Underbite

An underbite occurs when the lower jaw protrudes too far forward, causing the lower front teeth to sit in front of the upper front teeth. This can make chewing and speaking difficult and may contribute to uneven tooth wear or jaw discomfort. Correcting an underbite improves facial balance and bite function.