Virtual Orthodontic Consultation

Your time is valuable—and your smile deserves convenience that fits your lifestyle. At Wilsonville Orthodontics, we make it easy to start or continue your orthodontic journey from the comfort of your own home with our virtual consultation option. It’s quick, simple, and secure; perfect for busy parents, students, and professionals.

How it Works

  1. Capture Five Smile Photos: Take a series of five clear photos of your teeth and bite. You can use your smartphone, just follow the photo guide below to ensure accuracy.

2. Submit Your Photos and Details: Upload your photos using the form on this page. Include any specific concerns or questions you’d like to discuss with our doctors.

3. Meet With the Doctor: During your scheduled consultation, our doctors will review your photos and answer all your questions. You’ll receive personalized recommendations for next steps to move forward.

How to Photograph Your Smile

Clear photos help us evaluate your smile accurately. Use natural lighting, sit upright, and follow these simple steps:

  • Ask for help: Have someone take the photos, it’s easier and more accurate.

  • Use good lighting: Face a bright window and avoid shadows.

  • Stay natural: Keep your head straight and bite gently together.

Make sure each photo is clear and well-lit. If we need additional images, our team will reach out before your consultation.

Please contact our office if you have any questions about this form.

"*" indicates required fields

Show Us Your Smile

Accepted file types: jpg, jpeg, gif, png, pdf, heic, heif, Max. file size: 64 MB.

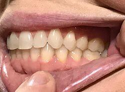
Bite down on your regular bite with back teeth touching. Pull back your right cheek as far as you can. Snap picture looking directly at the right side of your mouth.

Accepted file types: jpg, jpeg, gif, png, pdf, heic, heif, Max. file size: 64 MB.

Bite down on your regular bite with back teeth touching and show us your biggest smile ever, showing as much of your teeth as possible. Snap picture looking straight at your smile.

Accepted file types: jpg, jpeg, gif, png, pdf, heic, heif, Max. file size: 64 MB.

Bite down on your regular bite with back teeth touching. Pull back your left cheek as far as you can. Snap picture looking directly at the left side of your mouth.

Accepted file types: jpg, jpeg, gif, png, pdf, heic, heif, Max. file size: 64 MB.

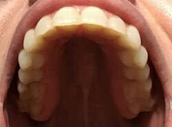
Tilt your head back and take a photo. Try to get your full arch. Face a window for the best lighting or use a flashlight to brighten the palate.

Accepted file types: jpg, jpeg, gif, png, pdf, heic, heif, Max. file size: 64 MB.

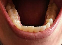
Tilt your chin down and take a photo. Try to get your full arch. Face a window for the best lighting or use a flashlight to brighten the tongue and back teeth.

Patient Information

Patient Name*
If minor, Parent Name:

Please wait for a confirmation message to ensure your photos have been uploaded, it may take a minute depending on image size and internet connection.